Subspine Impingement

What is Subspine Impingement?
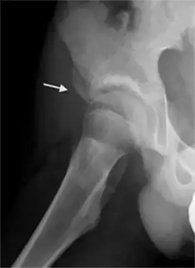
Subspine impingement occurs when an overgrowth of bone on the pelvis (anterior inferior iliac spine) rubs against the neck of the femur (thigh bone), causing hip pain. This condition may occur on its own or alongside femoroacetabular impingement (FAI), leading to limited hip function, persistent pain, and potentially osteoarthritis.

Causes of Subspine Impingement
Subspine impingement can result from:
- Activities involving deep hip flexion and rotation
- Repeated hip movements or overuse
- Traumatic injuries
- Rectus femoris tendinopathy
- Loose bodies or heterotopic ossifications
- Hypermobility
- Coexisting femoroacetabular impingement (FAI)

Symptoms of Subspine Impingement
Symptoms may vary, but common signs include:
- Pain in the groin, upper thigh, or side of the hip
- Catching or locking of the hip
- Pain during activities involving hip flexion
- Limited range of motion when lifting the leg

Diagnosis of Subspine Impingement
Diagnosis involves a combination of:
- Medical history: Lifestyle, previous surgeries, and symptom patterns
- Physical examination: Testing hip flexion, rotation, abduction, and adduction to reproduce symptoms
- X-rays: To detect bony overgrowth, structural abnormalities, or fractures
- Diagnostic injections: Local anesthetic injections to determine if pain stems from the hip or other structures like the lumbar spine

Conservative Treatments
For mild cases, non-surgical approaches may include:
- Activity modification and rest: Avoiding movements that aggravate symptoms
- Physical therapy: Improving range of motion and strengthening surrounding muscles
- Medications: NSAIDs to reduce pain and inflammation
- Injections: Steroid or orthobiologic injections to reduce inflammation and promote healing

Surgical Treatments
If conservative care does not relieve symptoms, surgical options may be considered:
- Anterior inferior iliac spine (subspine) decompression: Removing excess bone
- Femoroplasty: Reshaping the femoral neck
- Acetabuloplasty: Reshaping the hip socket
- Loose body removal: Removing fragments in the joint
- Labral procedures: Selective labral debridement, repair, or reconstruction
Recovery after surgery generally involves several weeks to months of rehabilitation, including physical therapy to restore hip strength, flexibility, and function.
